前歯のインプラント治療のご紹介新着!!
岡山県総社市井手の大森歯科医院です 本日は、インプラントとセラミックのかぶせを組み合わせた治療のご紹介です 本患者さんは、外傷で前歯が割れてしまったり、欠けてしまったり‥‥ インプラントとセラミックのかぶせで治療すること […]
精密入れ歯治療のご紹介
岡山県総社市井手の大森歯科医院です。 本日は、精密入れ歯治療のご紹介です。前回ご紹介した、こちらのブリッジ治療の方の続きの治療です→前歯のブリッジ治療のご紹介。 では、治療前の写真をもう一度・・・ では、いきなりです […]
前歯のブリッジ治療のご紹介
岡山県総社市井手の大森歯科医院です。本日は前回に引き続き前歯のブリッジ治療のご紹介です。 前歯の治療は、歯はもちろん歯と歯肉の調和がとても大切。歯を抜いた部分は、歯肉が下がりやすく、歯肉の自然なラインを保つのが難しくなる […]
前歯のブリッジ治療のご紹介
本日は、前歯のブリッジ治療のご紹介です。 前歯のブリッジは、土台の歯とダミーの歯(抜歯した部分を補うポンティックと呼ばれる部分です)で自然な歯茎のラインを作るのがとても難しい治療です。 抜歯した部分の骨は少なくなりやすく […]
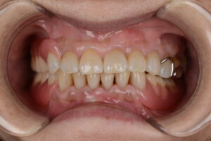
金具が目立たない義歯のご紹介
岡山県総社市井手の歯科、歯医者大森歯科医院です。本日は金具が目立たない義歯のご紹介です。 義歯といえば、前歯のあたりからチラりと見える金具が気になる、という方も多いと思います。そのような方には、金属ではなく歯茎と同じ色の […]
インプラント治療のご紹介
本日はインプラント症例のご紹介インプラントもやっぱり仮歯が大事のお話です 歯を失った部分にチタン製の人工歯根を埋めてその上に人工の歯(上部構造)を装着することで審美性や機能の回復を図るのがインプラント治療です きちんと噛 […]
前歯のセラミック症例のご紹介
岡山県総社市井手の歯科・歯医者、大森歯科医です。 本日は、前歯一歯のセラミック治療のご紹介です。 もともと装着していた前歯のかぶせが、土台ごと外れてしまったこちらの患者さん。なるべく自然に隣の歯の色や歯並びに調和するかぶ […]
前歯のインプラント症例のご紹介
岡山県総社市井手の歯科、歯医者大森歯科医院です。 本日は、下顎の前歯一歯のインプラント症例をご紹介いたします。 こちらの患者さんは、歯の根が割れており、抜歯をすることとなりました。下顎の前歯一歯を失った場合、ブリッジによ […]
前歯のセラミック治療とホワイトニングの症例のご紹介
本日は、前歯のセラミック治療とホワイトニングを組み合わせた治療のご紹介です。こちらの患者さんは、上顎の前歯の虫歯治療が必要でした。むし歯だけでなく、元々の歯の変色(神経を取る治療をしてから時間が経過したことによる)や、つ […]
前歯のセラミック治療と歯肉漂白の症例のご紹介
いかがでしょう。美しく整った前歯と、健康的な歯茎。 実はこの方、ご自身の口元のことでとても悩んでいらっしゃいました。 こちらが治療を受ける前の状態。前歯の継ぎはぎ状の詰め物と着色が長年の悩みだったとのこと。人前で前歯を見 […]













