前歯のインプラント治療のご紹介
岡山県総社市井手の大森歯科医院です
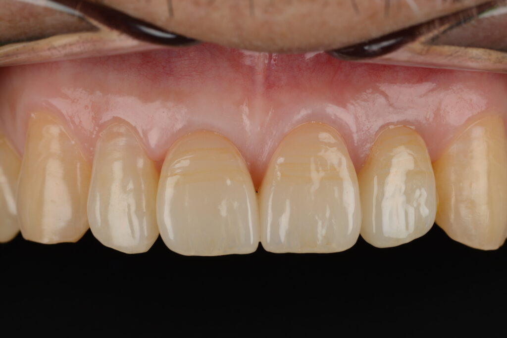
本日は、インプラントとセラミックのかぶせを組み合わせた治療のご紹介です
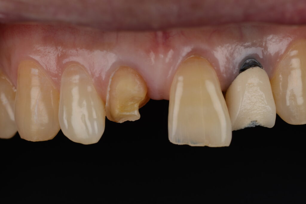
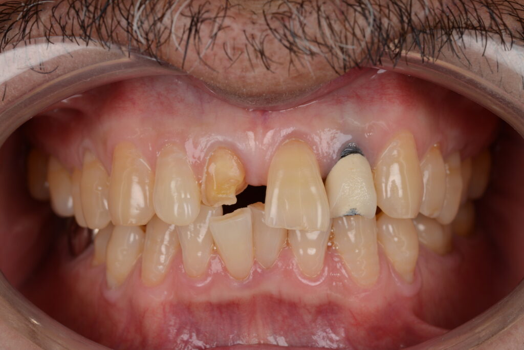
本患者さんは、外傷で前歯が割れてしまったり、欠けてしまったり‥‥
インプラントとセラミックのかぶせで治療することになりました
異なる治療法を組み合わせると、気になるのはやっぱり歯肉も含めて、調和してる?ということなのですが‥‥
お口の中(仮歯も含めて)から模型まで
バランスの取れた歯と歯肉を作り上げていくと、
調和の取れた美しい前歯になりました
前歯の治療は繊細な技術が必要です
前歯のかぶせが気になっている、
抜かないといけないと言われた前歯がある、
などお悩みのある方はぜひご相談下さいね
写真
1、2枚目:治療後
3、4枚目:治療前
5、6枚目:模型






