精密入れ歯治療のご紹介
岡山県総社市井手の大森歯科医院です。
本日は、精密入れ歯治療のご紹介です。
前回ご紹介した、こちらのブリッジ治療の方の続きの治療です→前歯のブリッジ治療のご紹介。
では、治療前の写真をもう一度・・・

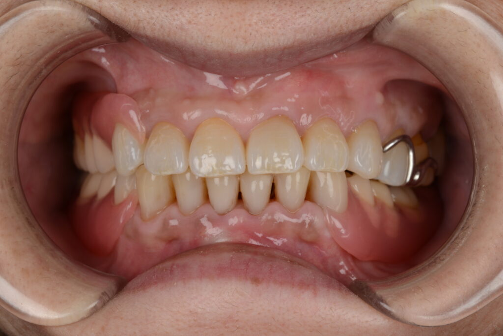
では、いきなりですが、治療後のお口の様子をお見せしますね。

前回紹介した、ブリッジ治療に加えて、上、下の部分入れ歯が入りました。
この入れ歯は、見えるところはできるだけ目立たないように、見えないところは強度と違和感の軽減のために金属を使っています。
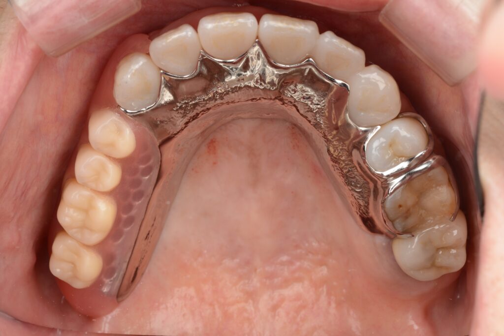
その入れ歯が、こちら。


金属床の義歯は、違和感が少ないのが特徴です。
セラミックのかぶせ、ブリッジ、金属床の入れ歯を上下のお口に。
加えて、虫歯治療も行い、機能的にも審美的にもすばらしいお口へと回復しました。
長年の悩みだったお口の中が少しずつ良くなって、治療の度、笑顔で帰っていかれるのが印象的でした。食事もおいしく食べられて、お友達やご家族にも、笑顔の口元をほめてもらうことが多くなったと喜ばれていました。
・お口の中がボロボロで、悩んでいる。
・あちこち気になることがあるけれど、治療できるか不安。
大森歯科医院では、これらのお悩みの方もじっくりお話を伺って治療プランを立てていきます。
大きな治療は、時間がかかります。費用もなかなかにかかります。
ただ、しっかりと継続して通院してくださったら、今のお悩みはきっと大きく改善されるはず!
お悩みのある方は、まずはご連絡ください。


